Metaplazi Nedir?

GMetaplazi Nedir?
İçindekiler

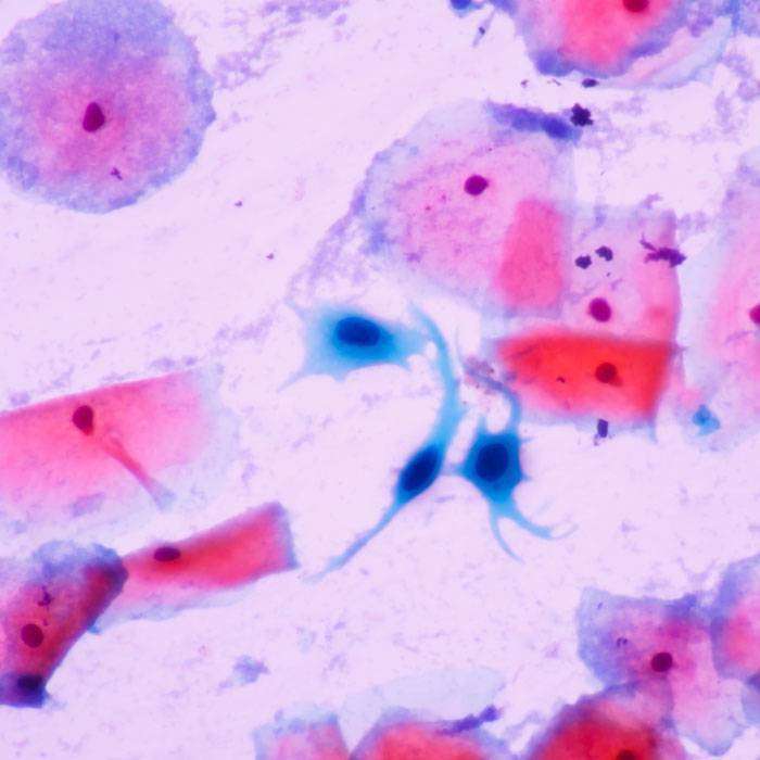
Metaplazi:

Dokunun, kendisi için normal olmayan bir şekilde başka bir tür doku yapısına dönüşümüdür. Metaplazide yeni dokunun fonksiyonu ve yapısı oldukça normaldir. Saldırının sürmesi durumunda ikinci kez evrim geçirmesinin mümkün olması displaziden farkını gösterir. Metaplazi sadece mikroskobik incelemeyle anlaşılabilmektedir. Görüldüğü başlıca organlar; rahim ağzı, mide, bronşlar ve yemek borusudur. Ancak tüm dokularda da rastlanabilir.

BENZER TERİMLER

Sözlüğe Dön
Suni Sancı Nedir, Hangi Durumlarda Başvurulur?

Suni Sancı Nedir, Hangi Durumlarda Başvurulur?

Suni Sancı, bebeğin anne karnında miadını doldurmuş olmasına rağmen doğmaması durumunda veya başlamış doğumu hızlandırmak amacıyla anne adayına serum yoluyla verilen oksitosin hormonudur.

Folik Asit Nedir? Hamilelikte Folik Asit Kullanmak ne İşe Yarar?

Folik Asit Nedir? Hamilelikte Folik Asit Kullanmak ne İşe Yarar?

Folik Asit; bebeğin gelişiminin sağlıklı bir şekilde tamamlanabilmesi için gerekli olan, DNA sentezi ve hücre bölünmesi süreçlerinde fazlasıyla önemli bir yeri ola B vitamini ailesinin bir üyesidir.

Anomali Taraması Nedir?

Anomali Taraması Nedir?

Ayrıntılı ultrasonun yani anomali taraması, anne adaylarının hamilelikleri döneminde bebeklerine yapılacak en önemli tetkiktir.

Lohusalık Depresyonu Nedir?

Lohusalık Depresyonu Nedir?

Doğumdan sonra her 7 kadından birinde yaşanan lohusalık depresyonu nedir?

Prematüre Bebek Nedir?

Prematüre Bebek Nedir?

Prematüre bebek, bebeğin beklenen tarihten daha erken gelmesi anlamına gelmektedir.

Beta Hcg Hormonu Nedir?

Beta Hcg Hormonu Nedir?

Halk arasında hamilelik hormonu olarak bilinen Beta HCG hormonu gebeliğin tespiti için kullanılır.

Ağız Sütü Nedir?

Ağız Sütü Nedir?

Doğumdan hemen sonra meme dokusu tarafından salgılanan ağız sütü, bebeğin ilk ihtiyaçlarını karşılayan ve besin değeri yüksek bir süttür.

Doğum Yardımı Nedir?

Doğum Yardımı Nedir?

Doğum yardımı; Türkiye'nin genç nüfus yapısını korunması, doğurganlık hızının artması amacıyla 15 Mayıs 2015 tarihinden itibaren doğum yapan tüm annelere yapılan ödemedir.

Pilor Stenozu Nedir

Pilor Stenozu Nedir

Pilor Stenozu, midenin hemen çıkışındaki darlık olarak ifade edilir. Ortalama 300-900 doğumda bir görüldüğü belirtilirken, daha çok bebeklik döneminde gözlendiği belirtilir.

İshal Nedir?

İshal Nedir?

Yirmi dört saat içerisinde üçten fazla sulu dışkılama ya da anne sütü alan bebeklerin normal zamanlarda olduğundan daha sulu ve sık dışkılaması ishal olarak tanımlanmaktadır.

Sezaryen Nedir?

Sezaryen Nedir?

Cerrahi bir operasyonla gebenin karın bölgesinde açılan bir kesiden anne karnındaki bebeğin doğmasını sağlayan ameliyata sezaryen denir.

Kordon Dolanması Nedir?

Kordon Dolanması Nedir?

Kordon dolanması, bebek ile eşi arasında bulunan bağın bebeğin boynuna bir ya da bir kaç defa dolanması olarak tanımlanır.

Denver 2 Testi Nedir?

Denver 2 Testi Nedir?

0-6 yaş arasında bulunan ve sağlıklı görünümde olan bebek ve çocuklara uygulamak üzere düzenlenmiş gelişim tarama testidir.

Gebelik Maskesine Karşı Bu Önlemleri Alıyor Musunuz?

Gebelik Maskesine Karşı Bu Önlemleri Alıyor Musunuz?

Gebelik Maskesi; hamilelik sırasında yüz derisinin renginde oluşan koyulaşmaya gebelik maskesi adı verilmektedir.

Kolik Bebek Nedir?

Kolik Bebek Nedir?

Kolik bebek bebeğin herhangi bir neden olmamasına karşın hiç durmadan ağlaması olarak tanımlanır.

Amniyotik Band Sendromu Nedir?

Amniyotik Band Sendromu Nedir?

Amniyotik bant sendromu, bebeğin anne karnında yaşadığı amniyotik zarın bir nedenden dolayı yırtılıp kopması ve bebeğin el ve ayaklarına dolanması ya da yapışması durumuna denir.

Göbek Fıtığı Nedir?

Göbek Fıtığı Nedir?

Göbek fıtığı tıbbi adı ”Umbilkal hernidir” dir. Bebeklerin doğumundan sonra oluşur.

Ambivalans Duygular Nedir?

Ambivalans Duygular Nedir?

Ambivalans, bir kişi veya bir durumla ilgili olarak zıt duyguların, fikirlerin ve isteklerin birlikte varolması anlamına gelir.

Sma - Spinal Müsküler Atrofi Nedir?

Sma - Spinal Müsküler Atrofi Nedir?

SMA, hareket sinir hücrelerinden kaynaklı nöro-müsküler genetik bir hastalıktır. Spinal Müsküler Atrofi bebeklik yaşlarından itibaren genellikle 3 evre şeklinde görülür.

Sünnet Nedir?

Sünnet Nedir?

Sünnet bilinen en eski ameliyat olarak tanımlanmaktadır. Tıpta, penisin ucunda, idrarın çıktığı deliği kapatan bölgede kapalı boşluk oluşturan cilt katlantısının kesilip alınması olarak tabir edilir.

15 Nisan Büyümenin İzlenmesi Günü Nedir?

15 Nisan Büyümenin İzlenmesi Günü Nedir?

15 Nisan Büyümenin İzlenmesi Günü, bebeklerin ve çocukların büyüme sürecinde sağlıklı gelişimlerini sağlayacak en uygun ortamın oluşturulması amaçlanmaktadır.

Montgomery Bezleri Nedir?

Montgomery Bezleri Nedir?

Süt salgılayabilen sebase bezleridir.

Mukus Tıkacı Nedir?

Mukus Tıkacı Nedir?

Rahim ağzının içindeki kanalı tıkayan sümüğümsü yapıdır.

Monilial Vulvovajiniti Nedir?

Monilial Vulvovajiniti Nedir?

Vajina ve vulvada yerleşen mantar enfeksiyonudur.

Hipoplazi Nedir?

Hipoplazi Nedir?

Herhangi bir dokunun kusurlu veya eksik gelişimi ya da oluşumudur.

Hepatit-b Antikor Testi Nedir?

Hepatit-b Antikor Testi Nedir?

Anne adayının hepatit-B hastalığına yakalanıp yakalanmadığını belirlemek için yapılan testtir.

Gnrh Nedir?

Gnrh Nedir?

Hipofizi kontrol eden, beynin hipotalamusundan salgılanan hormondur.

Mikrosefali Nedir?

Mikrosefali Nedir?

Fetus ya da doğan bebeğin başının normalden çok daha küçük olması ile tanımlanan doğumsal anomalidir.

Koryon Nedir?

Koryon Nedir?

Amniyonun çevresinde bulunan en dıştaki tabakadır.

Serviks Konizasyonu Nedir?

Serviks Konizasyonu Nedir?

Servikste kötü huylu tümör ya da tümör olma tehlikesi bulunan durumlarda cerrahi operasyon uygulanmasıdır.

Konjesyon Nedir?

Konjesyon Nedir?

Sıvı ile dolma; genellikle emziren bir annedeki göğüs konjesyonunu ifade eder.

Mutasyonlar Nedir?

Mutasyonlar Nedir?

Bir genin karakterindeki değişimdir.