Altı Çocuklu Genç Çiftin Kız Bebekleri için Verdiği O Zor Karar
Chloe ve Rohan Dunstan çiftinin 6 çocukları var. Üçü üçüz olarak aralarına yeni katıldı. Üçüzlerin doğumunda zor günler yaşandı fakat mutlu sonla noktalandı.
- Altı Çocuklu Genç Çiftin Kız Bebekleri İçin Verdiği O Zor Karar
- Chloe ve Rohan Dunstan üç çocuk sahibi bir çift
- Çocuklarının üçü de erkek
- Çift bir de kız çocuğu istediği için Chloe son bir kez daha gebe kalıyor
- Doktor kontrolünde yeni bir sürpriz ile karşılaşıyorlar: Üçüz çocukları olacağı ortaya çıkıyor!
- Üçüzlerden ikisi yine erkek ama diğeri bir kız
- Birkaç haftanın ardından erkeklerin kız bebeğin gelişimine izin vermedikleri ortaya çıkıyor. Bu nedenle doktorlar kızın alınmasını öneriyorlar
- Ancak kızın yaşaması için erken doğum gerekiyor ama bu durumda oğlanlarında zarar görebileceği belirtiliyor
- Chloe zor bir karar alıyor ve kızını feda etmeyerek 28 haftada erken doğum yapıyor!
- Her üç bebeğin hayatta tutulması için hastanede seferberlik başlıyor
- Özellikle kız bebekte ciddi sorunlar yaşanıyor ancak o bir şekilde direnmeyi başarıyor
- 11 hafta boyunca hastanede kalınmasının ardından üçü de sağlıklı bir şekilde taburcu ediliyor
- Chloe: “Bu süre boyunca Rohan diğer çocuklara baktığı için içim rahattı.”
- Üçlünün katılmasıyla birlikte bu güzel ailenin nüfusu 8’e çıkıyor
- Ve kadro tamamlanıyor
Altı Çocuklu Genç Çiftin Kız Bebekleri İçin Verdiği O Zor Karar
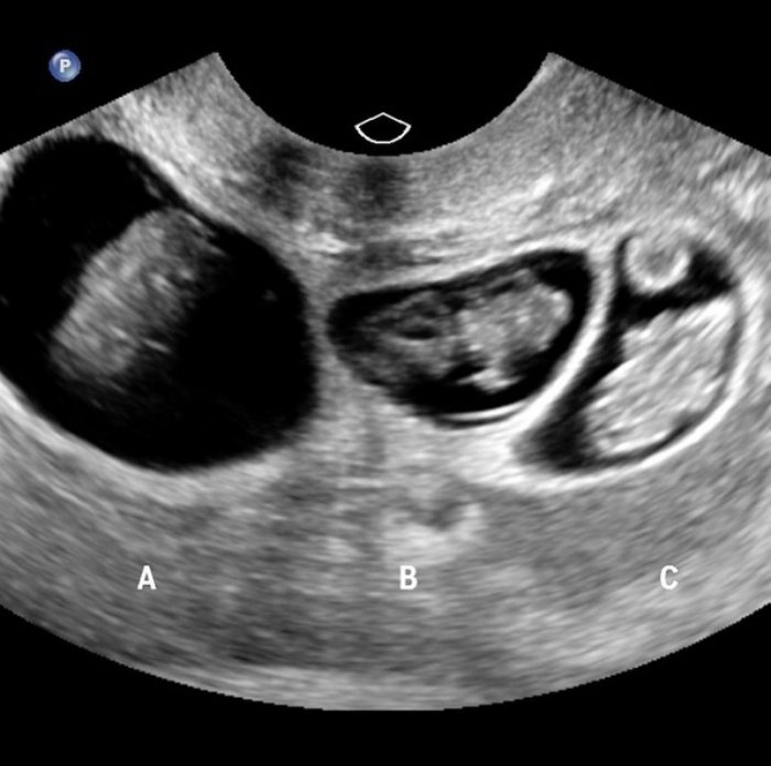
İngiltere’de yaşayan Chloe (22) ve Rohan (26) Dunstan çiftinin 6 çocukları var. Bunlardan üçü üçüz olarak aralarına yeni katıldı. Üçüzlerin doğumu sırasında zor günler yaşansa da şu günlerde bu macera mutlu sonla noktalandı.
Chloe ve Rohan Dunstan üç çocuk sahibi bir çift
Çocuklarının üçü de erkek
Çift bir de kız çocuğu istediği için Chloe son bir kez daha gebe kalıyor
Doktor kontrolünde yeni bir sürpriz ile karşılaşıyorlar: Üçüz çocukları olacağı ortaya çıkıyor!
Üçüzlerden ikisi yine erkek ama diğeri bir kız
Birkaç haftanın ardından erkeklerin kız bebeğin gelişimine izin vermedikleri ortaya çıkıyor. Bu nedenle doktorlar kızın alınmasını öneriyorlar
Ancak kızın yaşaması için erken doğum gerekiyor ama bu durumda oğlanlarında zarar görebileceği belirtiliyor
Chloe zor bir karar alıyor ve kızını feda etmeyerek 28 haftada erken doğum yapıyor!
Her üç bebeğin hayatta tutulması için hastanede seferberlik başlıyor
Özellikle kız bebekte ciddi sorunlar yaşanıyor ancak o bir şekilde direnmeyi başarıyor
11 hafta boyunca hastanede kalınmasının ardından üçü de sağlıklı bir şekilde taburcu ediliyor
Chloe: “Bu süre boyunca Rohan diğer çocuklara baktığı için içim rahattı.”
Üçlünün katılmasıyla birlikte bu güzel ailenin nüfusu 8’e çıkıyor
Ve kadro tamamlanıyor
Haftanın Öne Çıkanları
Esra İsminin Anlamı Nedir? Kökeni ve Özellikleri
Esra ismi Arapça kökenli olup “en çabuk” anlamına gelen zarif bir kız ismidir.
Elvin İsminin Anlamı Nedir? Kökeni ve Özellikleri
Elvin farklı kültürlerde kullanılabilen, modern bir kız ismidir.
Dilan İsminin Anlamı Nedir? Kökeni ve Özellikleri
Farsça - Kürtçe kökenli olan Dilan ismi, son yıllarda ülkemizde yeniden popülerleşmeye başladı.
Dilay İsminin Anlamı Nedir? Kökeni ve Özellikleri
Türkçe ve Farsça kökenli olan Dilay, son yıllarda giderek popülerleşen modern bir kız ismidir.
Doğa İsminin Anlamı Nedir? Kökeni ve Özellikleri
Doğa Türkçe kökenli olup tabiatı, yaşam enerjisini ve doğallığı simgeleyen modern bir kız ismidir.
Lila İsminin Anlamı Nedir? Kökeni, Özellikleri ve Kuran'daki Yeri
Lila farklı kültürlerde kullanılabilen, zarafet ve estetik çağrışımı yapan modern bir kız ismidir.
Gökberk İsminin Anlamı Nedir? Kökeni ve Özellikleri
Gökberk Türkçe kökenli olup “güçlü, sağlam ve yüce kişi” anlamlarını taşıyan bir erkek ismidir.
Mila İsminin Anlamı Nedir? Kökeni ve Karakter Özellikleri
Mila Slav kökenli olup “sevilen, nazik ve zarif” anlamları taşıyan modern bir kız ismidir.
Meryem İsminin Anlamı Nedir? Kökeni ve Özellikleri
Meryem ismi Arapça kökenli olup, manevi değeri yüksek bir kız ismidir.
Hatice İsminin Anlamı Nedir? Kökeni ve Özellikleri
Hatice ismi Arapça kökenli olup “erken doğan kız çocuğu” anlamına gelen zarif bir kız ismidir.
Halit İsminin Anlamı Nedir? Kökeni ve Karakter Özellikleri
Halit, Arapça kökenli olup “sonsuz, ebedi” anlamına gelen güçlü bir erkek ismidir.
Rabia İsminin Anlamı Nedir? Kökeni ve Karakter Özellikleri
Rabia ismi Arapça kökenli olup “dördüncü” anlamına gelen klasik bir kız isimdir.
Nalan İsminin Anlamı Nedir? Kökeni ve Özellikleri
Nalan Farsça kökenli olup “içli, duygusal, inleyen” anlamlarına gelen zarif bir kız ismidir.
Çocuklarda Saldırgan Davranışlar: Neden Olur, Nasıl Başa Çıkılır?
Küçük çocuklarda saldırgan davranışlar genellikle gelişimin normal bir parçasıdır. Ancak uzun sürmesi veya şiddetlenmesi durumunda uzman desteği gerekebilir.
Hamilelikte Alerjilerle Nasıl Başa Çıkılır?
Hamilelikte yaşanan hormonal değişimler ve bağışıklık sistemindeki farklılıklar, mevcut alerjilerin daha yoğun hissedilmesine yol açabilir.
Emzirmenin Faydaları: Anne ve Bebek İçin Neden Bu Kadar Değerli?
Emzirme, bebeğin bağışıklığını güçlendirirken annenin sağlığını da destekleyen önemli bir biyolojik süreçtir.
Çocuklara Ölüm Nasıl Anlatılır?
Çocuğunuza ölümü anlatırken açık, dürüst ve yaşına uygun bir dil kullanmanız, kayıp sürecini daha sağlıklı atlatmasına yardımcı olabilir.
Doğum Sırası Çocuğunuzun Kişiliğini Etkiler mi?
Doğum sırası çocukların kişilik gelişimini etkileyebilir ancak bu etki kesin değildir ve her çocuk bireysel özellikleriyle değerlendirilmelidir.
Doğum Sonrası Akne: Neden Olur, Nasıl Geçer?
Doğum sonrası çıkan akneler hormonal değişimlerden kaynaklanır ve genellikle birkaç ay içinde geçse de doğru bakım ve tedaviyle daha hızlı kontrol altına alınabilir.
Emzirme Sürecine Hazırlanmanızın 8 Etkili Yolu
Emzirmeye doğum öncesinde hazırlanmak süreci daha kolay ve başarılı hâle getirir.
Doğuma Girmeden Önce Yapmanız Gereken 13 Şey
Bebeğiniz doğmadan önce evinizi, zihninizi ve hayatınızı hazırlamak, doğum sonrası süreci çok daha kolay ve dengeli geçirmenizi sağlar.
Zayıflama İğneleri Doğurganlığı Nasıl Etkiliyor?
Zayıflama iğnesi doğurganlığı doğrudan artırmaz. Ancak kilo kaybı ve doğum kontrol ilaçları üzerindeki etkileri nedeniyle beklenmedik gebeliklere yol açabilir.
Perimenopoz Döneminde Hamile Kalınabilir mi?
Perimenopoz döneminde doğurganlık azalsa da hamile kalmak hâlâ mümkündür.
Hamile Kalmak Ortalama Ne Kadar Sürer?
Hamile kalma süresi kişiden kişiye değişir; ancak doğru zamanlama ve sağlıklı yaşam alışkanlıkları bu süreci hızlandırabilir.
Annelik Suçluluğu: Nedir, Neden Olur ve Nasıl Başa Çıkılır?
Annelik suçluluğu yaygın bir duygudur ve öz şefkat, destek almak ve gerçekçi beklentilerle daha sağlıklı şekilde yönetilebilir.
Tıkalı Süt Kanalları Nasıl Açılır? Etkili Çözüm Yolları
Tıkalı süt kanalları doğru yöntemlerle genellikle kısa sürede açılabilir ve düzenli emzirme bu süreçte en etkili çözümdür.
Emzirme Döneminde Kaçınılması Gereken Yiyecekler Neler?
Emzirme döneminde kesin yasaklı yiyecekler yoktur; önemli olan bazı besinleri ölçülü tüketmek ve bebeğin tepkilerine göre beslenmeyi düzenleyebilmektir.
Hamile Kalmaya Çalışırken Stresi Azaltmanın 8 Etkili Yolu
Hamile kalmaya çalışırken stresi azaltmak hem ruh sağlığını korumak hem de vücudun doğurganlık dengesini desteklemek için kritik öneme sahiptir.
Bebek Sahibi Olmaya Hazır mısınız? Kendinize Sormanız Gereken 7 Soru
Bebek sahibi olmaya hazır olup olmadığınızı anlamak için hayat hedeflerinizden maddi durumunuza kadar birçok faktörü değerlendirmeniz gerekir.
Hamilelikte Diş Beyazlatma Yapılır mı?
Hamilelikte diş beyazlatma işlemi için yeterli bilimsel veri bulunmadığından, uzmanlar bu uygulamanın doğum sonrasına ertelenmesini önermektedir.
Hamilelikte Retinol Kullanılabilir mi?
Hamilelikte retinol kullanımı, A vitamini fazlalığına bağlı riskler nedeniyle önerilmemektedir.
Hamilelikte Lazer Epilasyon Yaptırmak Güvenli mi?
Hamilelikte lazer epilasyonun zararlı olduğuna dair net kanıt olmasa da uzmanlar, yeterli veri olmadığı için işlemi doğum sonrasına ertelemeyi önermektedir.













